Angiography in Pune - Cardiac Diagnostic Services by Dr. Purvez Grant at Ruby Hall Clinic

What Diagnostic Services Are Available?

Effective treatment is entirely dependent on an efficient diagnosis. So, it is only natural that Dr. Grant has laid special emphasis on Ruby Hall’s comprehensive cardiac imaging services. We provide a wide range of imaging services.

Diagnostic services - Echocardiography

2D Echo

As one of the most widely used noninvasive tools in cardiology with real-time imaging of the heart’s chambers and valves, 2D Echo allows for early detection of structural abnormalities, helping clinicians make timely and accurate decisions for effective patient care.

Diagnostic services - Stress Testing

3D Echo

3D Echocardiography enhances traditional imaging by offering dynamic, three-dimensional views of the heart, providing superior anatomical detail especially useful in valve assessments and surgical planning.

Diagnostic services - Holter Monitoring

Strain Imaging

Strain imaging, a sophisticated echocardiographic tool, allows for the early detection of subtle myocardial dysfunction, even before conventional imaging shows abnormalities. By measuring deformation of heart muscle fibres, it aids in diagnosing cardiomyopathies, chemotherapy-related heart damage, and early heart failure.

Diagnostic services - Cardiac Catheterization

Transthoracic,
Transesophageal And
Intraoperative Echocardiography

Advanced echocardiographic techniques used to assess heart structure and function with unmatched clarity. Whether through the chest wall, esophagus or during surgery, each method delivers critical real-time cardiac insights.

1150 Slice CT Scan machine at Ruby Hall Clinic

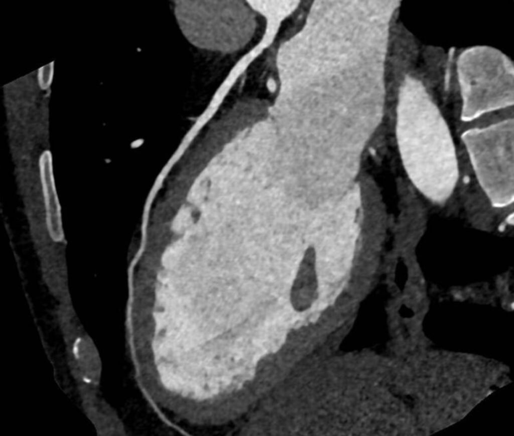
1150 Slice CT Scan

A first in India and Asia, this ultra-fast high-resolution CT scanner provides detailed cross-sectional images of the heart and blood vessels. Ideal for cardiac imaging, it captures precise anatomical data with low radiation exposure. Enabling over 100 CT scans in 1 day, giving more patients quicker results and diagnosis with help of advanced technology.

Diagnostic services - Advanced cardiac imaging

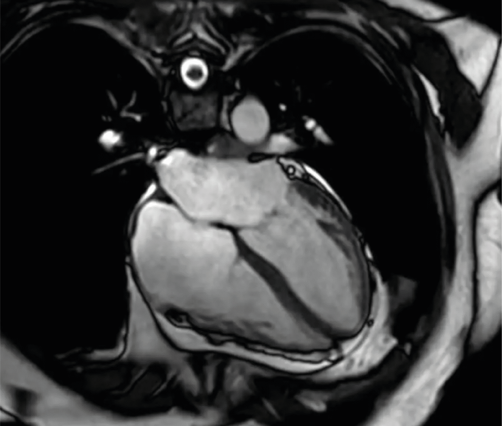
Cardiac MRI

A non-invasive, radiation-free imaging technique that offers in-depth visualization of heart muscle, valves and blood flow. It's especially useful for diagnosing cardiomyopathies and congenital heart diseases.

Diagnostic services - Electrophysiology

Vascular Doppler – Arterial & Venous

This ultrasound-based test evaluates blood flow in arteries and veins, helping detect blockages, clots or narrowing. Essential for early diagnosis of peripheral vascular disease and venous insufficiencies.

Diagnostic services - Ambulatory BP monitoring

Stress Thallium

A nuclear imaging technique that shows how well blood flows to the heart muscle. It is particularly useful for diagnosing coronary artery disease and evaluating the severity of ischemia.

Cardiac PET Scan at Ruby Hall Clinic

Cardiac Pet Scan

This cutting-edge molecular imaging test detects areas of reduced blood flow or metabolic activity in the heart. PET scans are highly sensitive and often used in diagnosing cardiac sarcoidosis or viability studies.

Myocardial Perfusion Scintigraphy imaging

Myocardial Perfusion Scintigraphy

A nuclear medicine scan that evaluates blood flow to the heart muscle both at rest and under stress. It helps assess coronary artery disease and determine the effectiveness of treatments.

State-of-the-art outpatient department (OPD)

State-of-the-art outpatient department (OPD) amenities specifically designed for cardiac care. These advanced facilities include modern consultation rooms, comprehensive diagnostic tools such as echocardiography and ECG stations, and dedicated areas for patient education and pre-operative assessments. Equipped with the latest technology and staffed by experienced specialists, our OPD ensures seamless, efficient and patient-centric care, providing a comprehensive environment for initial evaluations, follow-up consultations and ongoing cardiac management.

Diagnostic equipment at Ruby Hall Clinic

Cardiology OPD

The Cardiology Outpatient Department at Ruby Hall Clinic is a centre of excellence in preventive and diagnostic cardiac care. Patients benefit from personalised evaluations, expert consultations and timely interventions led by a highly experienced and compassionate cardiac team. This OPD often serves as the first and most important step in managing heart health with a comprehensive, patient-centric approach.

Advanced diagnostic technology

Heart Failure OPD

Ruby Hall Clinic’s dedicated Heart Failure OPD focuses on improving quality of life for patients with compromised heart function. Through cutting-edge diagnostics, evidence-based therapies and coordinated multidisciplinary care, the clinic helps manage symptoms, prevent hospitalisations and slow disease progression—empowering patients to lead fuller, healthier lives.

Cardiac diagnostic facility

Heart Transplant OPD

As one of the first centres in Pune to establish a comprehensive heart transplant program, Ruby Hall Clinic’s Heart Transplant OPD provides world-class pre- and post-operative care. From detailed assessments to long-term follow-up, the team ensures each patient receives seamless, compassionate and expertly guided support throughout their transplant journey.